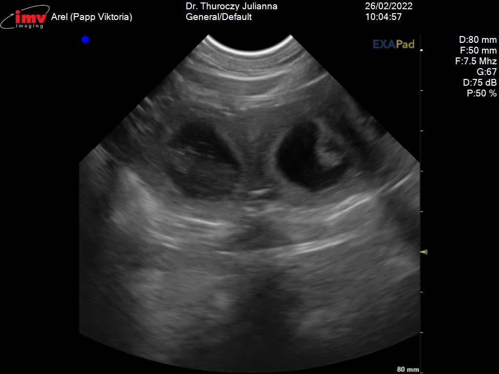
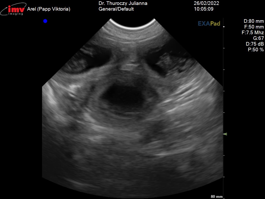
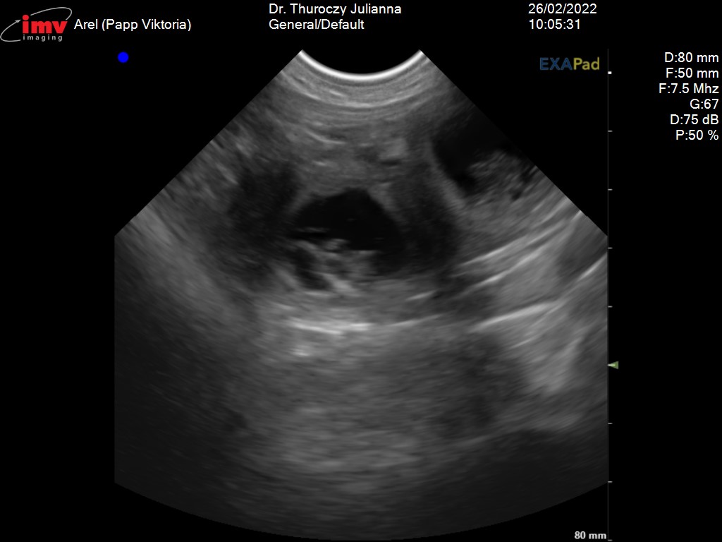
Az élet egyik nap elvesz a másik nap ad. A szombati ultrahang megerősítette hogy Arel és Beso pároztatása sikeres volt. Arel vemhes. Köszönjük Joanna a bizalmat. Gratulálunk Besónak, ügyes volt.
Kiskutyák születése várható
Előző bejegyzésBulawayo Baobab E-Saavik ELI 2010.06.22-2022.02.25
Következő cikk Bulawayo Baobab E-Saavik Eli
Következő cikk Bulawayo Baobab E-Saavik Eli







